Degenerative Spondylolisthesis

70 year old male presented to the office with complains of back pain and heaviness in both lower extremities, which worsened with activity including walking for long distances. His walking distance decreased over time.

He found himself leaning forwards after walking for a block. He also used to lean over the grocery cart while going shopping.

X-rays and MRI of the Lumbar spine showed L4-5 degenerative spondylolisthesis
X-rays and MRI of the Lumbar spine showed L4-5 degenerative spondylolisthesis
X-rays and MRI of the Lumbar spine showed L4-5 degenerative spondylolisthesis

X-rays and MRI of the Lumbar spine showed L4-5 degenerative spondylolisthesis
and severe spinal stenosis.

Patient underwent conservative management the problems using pain injections (Cortisone shots) and medications and achieved short term relief.

Patient had worsening of the symptoms and decided to go for surgical management of the pathology.

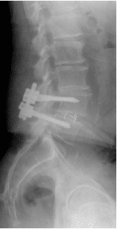
Patient underwent decompression laminectomy with decompression of nerve roots and transforaminal interbody fusion using PEEK (polyether ether ketone) cage and pedicle screw and rod fixation for fusion at L4-5 level.

Fusion was achieved in about 3 months and patient was asymptomatic.

Call Us

(631) 981-2663

Fax: (212) 203-9223

spine Case Studies

D10x