Case Study: Open Reduction and Internal Fixation of the Distal Fibula in a 51-year-old patient

A form of surgery called open reduction and internal fixation (ORIF) is used to stabilize and mend shattered bones. This treatment could be necessary to treat a fractured fibula or shinbone (tibia). Your lower leg’s bigger bone is called the tibia, or shinbone.

The fibula is located next to it, somewhat outside the leg. Some of the most frequent knee overuse ailments are patellofemoral syndrome (cyclist’s knee), patella and quadriceps tendonitis, medial plica syndrome, and iliotibial band friction syndrome.

A 51-year-old patient visited our office with complaints regarding her left fibula fracture due to a bicycle accident. The patient reports standing, walking, lifting, twisting, pushing/pulling, throwing, weightbearing and exercise worsened the pain and also disturbed during nighttime.

For associated symptoms, she reports weakness, tingling, swelling, tenderness to the touch, and pain with motion. She reports the pain in her left as sharp and frequent. For severity, she reports mild.

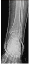
The patient presented an Xray result and shown status post external application of a cast for mildly displaced oblique fracture of the distal fibula.

Left Ankle X-Ray complete 3 or more views

Left Ankle X-Ray complete 3 or more views

We discussed the treatment options for the patient’s diagnosis, which included non-surgical and surgical options. We also discussed the nature and purpose of the treatment options along with the expected risks and benefits.

I educated the patient regarding the inherent and unavoidable risks which include, but are not limited to anesthesia, infection, damage to nerves and blood vessels, blood loss, blood clots, and even death were discussed at length. We also talked about the possibility of not being able to return to prior activities or employment, the need for future surgery, and complex regional pain syndrome.

We talked about the possibility of not being able to alleviate all of the discomfort. Also, I explained there is no guarantee all the function and strength will return. The patient also understands the risks of re-tear or failure to heal.

The patient expressed understanding of these risks and has elected to proceed with surgery. Ample time was given for questions, of which many were addressed. We have discussed the surgical procedure as well as the realistic expectations regarding the risks, outcome, and post operative protocol.

The patient was taken to the operating room where she was positioned on a well-padded operating table. General anesthesia was induced. A hip bump was applied on the back of the of the hip. The left lower extremity was prepped and draped aseptically in the usual fashion. Tourniquet was applied. Preop antibiotics were given. The tourniquet was inflated to 300 mmHg.

A lateral incision was planned over the lateral malleolus in distal fibula. With sharp dissection, the bone and fracture were exposed. The fracture site was opened and cleaned and irrigated. The fracture was reduced and held with a lobster clamp.

Two interfragmentary screws of 2.7 mm were used to compress the fracture. A lateral plate was applied through the lateral malleolus and distal fibula. The plate was fixed to the fibula using a combination of locking and nonlocking screws. Wound was thoroughly Irrigated.

The wound was closed in layers using #0 Vicryl, #2-0 Vicryl, and # 3-0 Monocryl. The dressing was done using Dermabond, 4 x 4s, and Webril. Posterior splint was applied, and an Ace wrap was applied. The patient was moved to recover in a stable condition.

The patient was seen for a post operative check up. The patient did well after the surgery and continued physical therapy. Patient checked in for a follow up visit after a month and has seen significant improvement.

Disclaimer – Patient’s name, age, sex, dates, events have been changed or modified to protect patient privacy.

Call Us

(631) 981-2663

Fax: (212) 203-9223

Sports Medicine Case Studies Case Studies

Dr. Vedant Vaksha

Dr Vedant Vaksha MD

I am Vedant Vaksha, Fellowship trained Spine, Sports and Arthroscopic Surgeon at Complete Orthopedics. I take care of patients with ailments of the neck, back, shoulder, knee, elbow and ankle. I personally approve this content and have written most of it myself.

Please take a look at my profile page and don’t hesitate to come in and talk.

Schedule an Appointment
D10x